본문 바로가기 주메뉴 바로가기
VAROM DENTAL CLINIC

내 치아처럼 자연스럽고 튼튼한

라미네이트
Laminate

빠르게 치아가 가지런하고 예뻐지는 스마일라인 완성

가지런하고 예뻐지는 스마일라인

라미네이트

자연스럽고 깨끗하게 만들어 주는 치아성형술입니다. 치아의 앞면을 0.3~0.5mm정도 최소 삭제하여,
본인의 치아형태와 유사한 본을 뜬 얇은 세라믹 박편을 접착하는 방법으로, 치열을 고르게 하고 치아색을 밝고 투명하게 할 수 있습니다.

라미네이트 치료과정

  • STEP 01

    정밀 진단 및 치료계획 수립

  • STEP 02

    최소 삭제 후 보철물 제작을 위한
    본을 뜨게 듭니다.

  • STEP 03

    환자 개개인에 맞는 보철물 디자인 및 제작

  • STEP 04

    단단하게 보철물 부착

라미네이트가 필요한 경우

01

치아의 모양이나 형태가 심미적으로 좋지 않은 경우

02

치아의 변색이 심하여 미백으로도 개선이 안 되는 경우

03

기존의 보철물이 파손되거나 보기 싫은 경우

04

단기간에 앞니를 가지런하고 예쁘게 만들고 싶은 경우

바롬치과의 라미네이트 장점

  • 0.2 – 0.7mm
    정도의 최소량

  • 삭제로 치아를
    최대한 보존

  • 치료기간이 짧아서
    일상 생활 바로 가능

  • 색이 자연스럽고
    주변 치아와 차이가 없음

  • 영구 미백 효과를
    얻을 수 있음

바롬치과 라미네이트 ‘보증된 재료’

  • 01.

    나노미네이트 / 무삭제

  • 02.

    비침이나 얼룩진곳 없이 원래 치아처럼 정교하게 치료

  • 03.

    라미네이트 단점인 인위적인 디자인 해결
    (자일리톨 박은거 처럼이 아니라 실제 자연치아처럼 디자인)

  • 04.

    자연 치아의 주름모양까지 완벽하게 구현

  • 05.

    자연 치아의 색과 모양에 조화를 잘 맞추는 고퀄리티 라미네이트

  • 06.

    기존 수명이 짧은 라이네이트의 단점을 보완하여 깨지거나 떨어짐이 거의 없음

  • 07.

    라미네이트 짧은 기간에 완성
    (치료기간은 7일)

  • 08.

    라미네이트 전용접착제로 반영구적으로 문제 없이 사용

  • 09.

    바롬치과는 라미네이트 장인이라고 보면 된다.

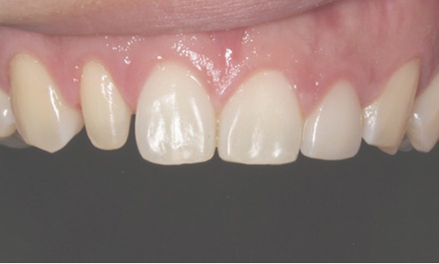
바롬치과 라미네이트 전후사진

왜소치 환자 사례

  • Before

  • 치아 무삭제

    After

치아 사이 공간 환자 사례

  • Before

  • 치아 무삭제

    After

왜소치 환자 사례

  • Before

  • 치아 무삭제

    After

치아 사이 공간 환자 사례

  • Before

  • 치아 무삭제

    After

왜소치 환자 사례

  • Before

  • 치아 무삭제

    After

25년 경력의 전문의 의료진

정직하고 윤리적인 치과 바롬치과는 바른원칙을 지켜갑니다.

기본에 충실한 마음으로 항상 고객의 입장에서 생각하고 노력하겠습니다.
환자의 기본적인 권리를 보호하고 안전한 결과를 약속 드리기 위해 의료진이 1:1 전담 책임지고 진료합니다.